In pain right now? 052-265-8996 LINE Book

Specialist Care

Specialist dental treatments in Nagoya.

Our clinic provides comprehensive treatment grounded in our director's expertise in prosthodontics. From implants and crowns to cosmetic dentistry and full-mouth restoration, we offer expert care explained in English.

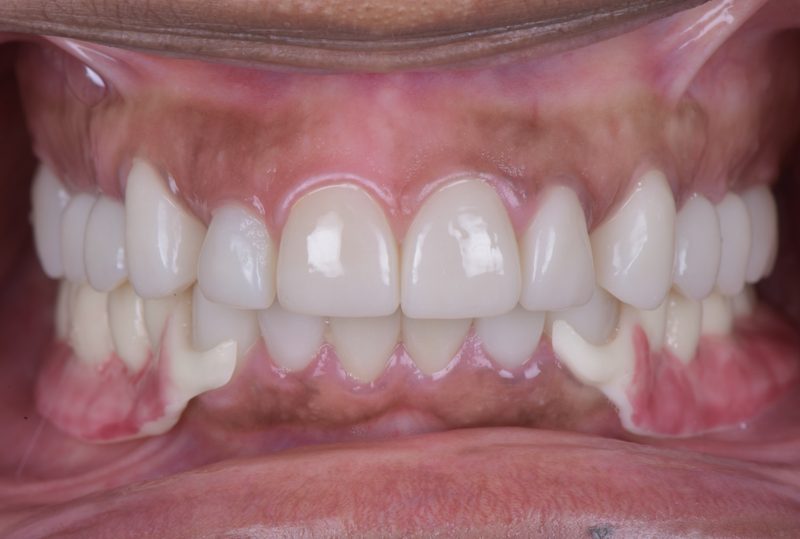
Porcelain crowns crafted for a natural, seamless fit

Crowns & Bridges

As a U.S.-trained prosthodontic specialist, our director's core expertise lies in restoring damaged or missing teeth with precisely fitted crowns and bridges — ceramic, zirconia, or metal-bond — designed for both strength and natural appearance.

  • Full-ceramic & zirconia crowns
  • Multi-unit bridges
  • Implant-supported crowns
  • Long-term bite rehabilitation
Implant surgery in progress at Eden Dental Office

Dental Implants

From surgical placement to the final prosthetic tooth, we manage the entire implant process in-house. Our prosthodontic background means the final restoration is planned from day one.

  • Single-tooth implants
  • Implant-supported bridges
  • Bone grafting when needed
  • Digital planning & guided surgery
Full-arch restoration before and after — confident smile restored

All-on-4 / Full-Arch Restoration

For patients who have lost most or all of their teeth — or whose remaining teeth are beyond repair — All-on-4 provides a fixed, full set of teeth supported by just four implants per arch. Our director's prosthodontic training means the final result is planned for both function and a natural appearance.

  • Full-arch implant-supported prosthesis
  • Immediate provisional teeth (same-day where possible)
  • Digital smile planning
  • Comprehensive follow-up
Dental instruments prepared for precise treatment

General Dental Care

Routine exams, cavity treatment, periodontal therapy, root canal treatment, and preventive care — all delivered with the same careful explanation and refined environment.

  • Check-ups & cleaning
  • Cavity treatment
  • Root canal therapy
  • Periodontal (gum) care

If you came in for an emergency and would like to continue treatment at Eden, we are happy to prepare a full treatment plan and walk you through every option. There is never any pressure to proceed.

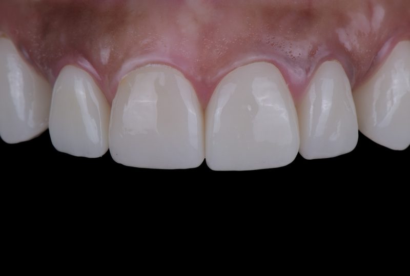
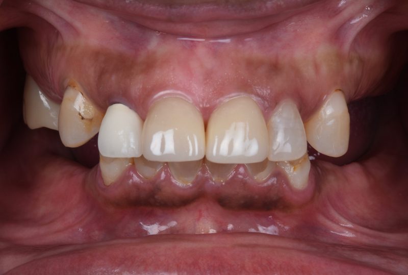
Before & After

Real results from our clinic.

Every smile is different. These are actual patients treated at Eden Dental Office — from full-arch restorations to porcelain veneers. Photos are shown with patient consent.

Before: severely damaged and discolored teeth Before
After: fully restored smile with natural-looking teeth After

All-on-4 full-arch restoration

Before: worn, stained teeth with decay Before
After: complete smile restoration After

All-on-4 full-arch restoration

Before: multiple missing teeth Before
After: beautiful full set of teeth After

Full-mouth rehabilitation

Before: discolored and damaged front teeth Before
After: bright, even smile After

Full-mouth rehabilitation

Before: crowded and discolored teeth Before
After: aligned, natural-looking smile After

Crowns & implants

Before: front teeth with slight imperfections Before
After: flawless porcelain veneers After

Single implant

Every patient's situation is unique. Results depend on individual conditions, treatment plan, and follow-up care. We are happy to discuss what is possible in your case during a consultation.

Ready to start treatment?

Let's discuss your smile goals.

Whether you are interested in cosmetic enhancement, restorative treatment, or a complete smile transformation, we are here to listen and explain every option.

Questions? 052-265-8996